컨텐츠 목차 바로가기

골수암 증상 및 치료
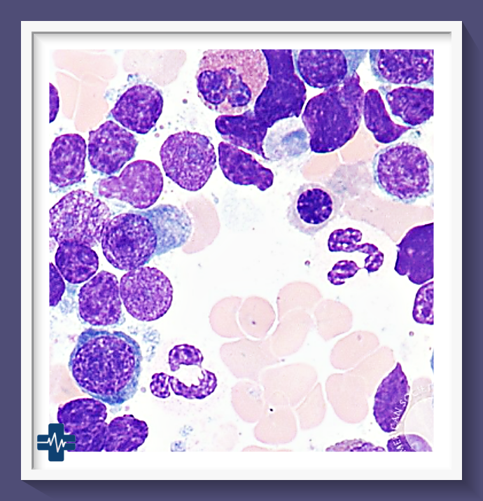
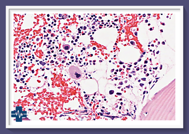
골수암, 특히 급성 및 만성 골수성 백혈병은 혈액암의 한 유형으로, 골수에서 비정상적인 백혈구가 과도하게 생산되는 질환입니다. 이 질환은 골수의 정상적인 기능을 방해하여 다양한 신체적 증상을 유발하며, 진단과 치료가 시급한 중대한 건강 문제입니다.
증상
골수암의 증상은 주로 골수 기능의 저하로 인해 나타납니다. 가장 흔한 증상으로는 빈혈, 피로감, 쇠약감, 체중 감소, 발열 및 감염에 대한 증가된 취약성이 있습니다. 또한, 환자는 출혈 경향 증가(혈소판 감소로 인해)와 골수 부전으로 인한 면역 체계의 약화를 경험할 수 있습니다. 급성 골수성 백혈병의 경우, 발열과 오한, 출혈성 경향, 림프절 부종 및 감기와 유사한 증상이 초기에 나타날 수 있습니다.



치료
골수암의 치료는 질병의 유형(급성 또는 만성), 진행 정도, 환자의 일반적인 건강 상태 및 연령에 따라 달라집니다. 주요 치료 방법으로는 화학요법, 방사선 치료, 그리고 조혈모세포 이식이 있습니다.
1. 화학요법: 이는 암세포를 죽이거나 성장을 억제하기 위해 약물을 사용하는 치료 방법입니다. 급성 골수성 백혈병에서는 고용량의 화학요법이 사용되며, 이는 종종 조혈모세포 이식과 결합됩니다.
2. 조혈모세포 이식: 이는 손상된 골수를 건강한 골수로 대체하기 위한 치료법입니다. 환자의 골수를 파괴한 후 건강한 기증자의 조혈모세포를 환자에게 이식합니다. 이 방법은 완치를 목표로 하며, 특히 젊은 환자와 건강한 환자에게 권장됩니다.
3. 표적 치료: 최근에는 특정 유전자 변이나 단백질을 표적으로 하는 치료제의 개발이 진행되고 있습니다. 예를 들어, 만성골수성 백혈병에서는 티로신 키나아제 억제제인 글리벡이 효과적으로 사용되고 있습니다. 이 약물은 특정 유전자 돌연변이를 가진 암세포의 성장을 억제하여 질병의 진행을 늦추거나 멈추게 합니다.
예후
골수암의 예후는 다양한 요인에 따라 달라집니다. 조기 진단과 적극적인 치료는 생존율을 크게 향상시킬 수 있습니다. 최근의 의학적 발전으로 많은 환자들이 더 긴 생존 기간과 향상된 삶의 질을 경험하고 있습니다. 그러나 고령의 환자나 다른 기저 질환이 있는 환자의 경우 예후가 좋지 않을 수 있습니다.
골수암은 그 자체로 심각한 질병이며, 적절한 치료 없이는 빠르게 진행될 수 있습니다. 따라서 초기 증상을 인지하고 즉시 전문 의료 기관을 방문하여 진단을 받는 것이 중요합니다. 현대 의학의 발전으로 많은 환자들이 이전보다 더 나은 치료 결과를 얻고 있으며, 지속적인 연구와 새로운 치료법의 개발이 희망을 제공하고 있습니다.




골수암 생존율 수치
골수암 생존율 수치에 대한 분석
골수암, 특히 다발성 골수종과 급성 골수성 백혈병은 혈액암의 주요 유형으로, 골수에서 비정상적인 혈액 세포의 과도한 증식을 특징으로 합니다. 이러한 암의 생존율은 다양한 요인에 의해 영향을 받으며, 최근 몇 년간 치료법의 발전으로 인해 개선되고 있는 추세입니다.
다발성 골수종의 생존율
다발성 골수종은 혈액암 중 하나로, 골수에서 형질세포가 악성화하여 과증식하는 질환입니다. 최근 통계에 따르면, 다발성 골수종의 5년 생존율은 약 50.7%로 보고되었으며, 이는 1993~1995년의 23.7%에 비해 두 배 이상 향상된 수치입니다. 이러한 개선은 신약 개발과 치료법의 진보에 기인합니다. 특히, 재발 환자의 경우 적절한 치료 조합이 중요하며, 첫 번째 재발 시의 치료 효과가 환자의 예후를 좌우하는 것으로 알려져 있습니다.
급성 골수성 백혈병(AML)의 생존율
급성 골수성 백혈병(AML)은 치료를 받지 않을 경우 대부분의 환자가 진단 후 몇 주에서 몇 달 이내에 사망하게 됩니다. 그러나 치료를 받으면 환자의 약 20%~40%가 재발 없이 최소 5년은 생존하는 것으로 보고되고 있습니다. 이는 과거에 비해 상당한 진전이 있음을 시사합니다. 또한, 치료를 거부할 경우 1년 이내에 사망할 확률이 90%를 넘는다고 알려져 있어, 적극적인 치료의 중요성을 강조합니다.



치료법의 발전과 생존율
신약 개발과 치료법의 발전은 골수암 환자의 생존율을 높이는 데 크게 기여하고 있습니다. 예를 들어, 다발성 골수종의 경우, 면역조절제, 프로테아좀 억제제, 단클론항체 등의 다양한 항암화학요법 약물이 사용되고 있으며, 이들은 단독 혹은 병합요법으로 투여되고 있습니다. 또한, CAR-T세포 치료와 같은 개인 맞춤형 의약품에 대한 임상 연구도 진행 중입니다.
골수암 인식의 중요성
골수암에 대한 인식의 중요성은 환자의 생존율에 직접적인 영향을 미칩니다. 조기 진단과 적극적인 치료는 생존율을 크게 향상시킬 수 있으며, 이는 골수암을 더 이상 불치병으로만 여기지 않는 인식 전환을 필요로 합니다. 골수암 환자의 수가 증가함에 따라, 이에 대한 인식과 교육의 필요성이 더욱 강조되고 있습니다.
골수암의 생존율은 지난 수십 년간 상당한 개선을 보여왔습니다. 이는 치료법의 발전과 신약 개발, 그리고 조기 진단과 적극적인 치료 전략의 결과입니다. 그러나 여전히 골수암에 대한 인식과 교육이 중요하며, 환자 개개인에게 최적화된 치료법을 적용하는 것이 중요합니다. 지속적인 연구와 의료진의 노력으로 골수암 환자의 생존율은 앞으로도 더욱 향상될 것으로 기대됩니다.
골수암 생존율과 증상, 치료 방법은? 진단, 완치율 - 메디컬 선데이
서론때때로 예기치 못한 질병이 찾아와 우리의 일상을 흔들어 놓곤 합니다. 특히 골수암과 같은 혈액암은 그 예측 불가능성과 치료 과정의 길고 험난함으로 인해 환자와 가족 모두에게 큰 시련
medicalsunday.com
 ✅전립선암 전이와 수술비용, 암코드는 무엇일까?
✅남자도 유방암에 걸리는지 궁금해요, 원인과 진단과정은?
✅췌장암 등통증 위치, 옆구리 증상은 괜찮을까?, 통증 관리
✅전립선암 수술비용과 전이, 말기 증상 관리는 이렇게 해야 
'건강 라이프' 카테고리의 다른 글
| 식도암 생존율과 4기, 완치 사례 (0) | 2024.04.22 | 
|---|---|
| 낑깡 금귤 효능과 부작용 : 하루 섭취 적당량, 비타민 C, 소화기능 개선 (1) | 2024.04.21 | 
| 중입자 암 치료 비용과 보험 그리고 단점 (0) | 2024.04.18 | 
| 딸꾹질 원인과 건강신호, 물 없이 멈추는 법 (0) | 2024.04.17 | 
| 손가락 삐었을때 냉찜질 및 치료 방법, 인대 늘어났을시 회복기간 (1) | 2024.04.16 | 
 
                                
                               
                                
                               
                                
                              